Röntgenuntersuchung
Um die individuelle Fehlstellung vermessen zu können, sind Röntgenaufnahmen notwendig:
- eine Panoramaaufnahme der gesamten Zähne im Ober- und Unterkiefer
- ein Fern-Röntgen-Seitenbild, eine Aufnahme der Zähne und Kiefer von der Seite
- bei Jugendlichen gelegentlich eine Handwurzelaufnahme, um das Wachstumsende abschätzen zu können
Wenn Ihr Zahnarzt vor kurzem bereits Röntgenbilder aufgenommen hat, sollten Sie diese gegebenenfalls in Kopie mitbringen. Sie können teilweise verwendet und Doppelaufnahmen somit vermieden werden.
- eine Panoramaaufnahme der gesamten Zähne im Ober- und Unterkiefer
- ein Fern-Röntgen-Seitenbild, eine Aufnahme der Zähne und Kiefer von der Seite
- bei Jugendlichen gelegentlich eine Handwurzelaufnahme, um das Wachstumsende abschätzen zu können
Wenn Ihr Zahnarzt vor kurzem bereits Röntgenbilder aufgenommen hat, sollten Sie diese gegebenenfalls in Kopie mitbringen. Sie können teilweise verwendet und Doppelaufnahmen somit vermieden werden.

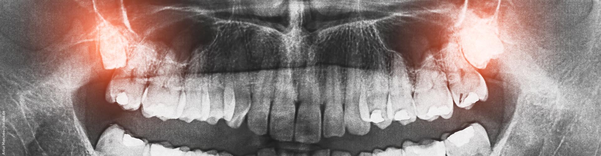
Panoramaaufnahme
Eine Panoramaaufnahme (Orthopantomogramm, kurz OPG) ist eine Übersichtsaufnahme der Zähne und der Kiefer. Auf diesem Röntgenbild lässt sich erkennen:
- ob einer oder mehrere Zähne nicht angelegt sind und im bleibenden Gebiss fehlen werden
- wie die Zähne geformt sind
- wie die Zahnwurzeln im Kiefer liegen ob Weisheitszähne vorhanden sind und ob sie eventuell später entfernt werden sollten
- ob fehlende Zähne möglicherweise vorhanden sind (retinierte Zähne), sie aber z. B. nicht herauswachsen, weil im Kiefer zu wenig Platz ist
- ob noch nicht herausgewachsene Zähne schief im Kiefer liegen (verlagerte Zähne).
Bei Kindern und Jugendlichen sind außerdem schon die sich entwickelnden Zähne im Kiefer sichtbar (die so genannten Zahnkeime). Und es ist zu sehen, wie weit die Zahnwurzeln der bleibenden Zähne bereits gewachsen sind.
- ob einer oder mehrere Zähne nicht angelegt sind und im bleibenden Gebiss fehlen werden
- wie die Zähne geformt sind
- wie die Zahnwurzeln im Kiefer liegen ob Weisheitszähne vorhanden sind und ob sie eventuell später entfernt werden sollten
- ob fehlende Zähne möglicherweise vorhanden sind (retinierte Zähne), sie aber z. B. nicht herauswachsen, weil im Kiefer zu wenig Platz ist
- ob noch nicht herausgewachsene Zähne schief im Kiefer liegen (verlagerte Zähne).
Bei Kindern und Jugendlichen sind außerdem schon die sich entwickelnden Zähne im Kiefer sichtbar (die so genannten Zahnkeime). Und es ist zu sehen, wie weit die Zahnwurzeln der bleibenden Zähne bereits gewachsen sind.





